成都痛风医院亚太痛风联盟HGMC成都分中心
成都风湿医院四川省风湿免疫疾病大数据中心
成都痛风风湿病医院中国中医药促进会痛风风湿疑难病会诊基地
肌骨超声 痛风超声四种征象让“痛”看得见
肌骨超声(musculoskeletal ultrasound,MSUS)技术是通过高频超声(3~17Hz)扫描提供优异的临床图像,以清晰显示肌肉等软组织层次关系及其内部机构来诊断肌肉骨骼系统疾病的新型超声检查技术。通过肌骨超声,医生可以分辨毫米级以下动态的这些组织结构肌肉、肌腱、韧带、关节囊、关节面及周围神经等浅表软的毗邻关系、形态大小、结构纹理、血流分布,从而获取这些组织器官的解剖变异、炎症、退行性病以及创伤等病变的全方位信息,从而对疾病进行精准评估。
虚线
肌骨超声在痛风性关节炎上临床应用:
痛风是嘌呤代谢紊乱及(或)尿酸排泄减少引起的一种晶体性关节炎,该病发病缘于尿酸盐沉积于关节囊、滑囊、软骨、骨质及其他组织中引起的炎性反应和病损。当尿酸盐沉积导致关节及周围软组织受累时,则引起痛风性关节炎炎症反应,反复发作则造成关节畸形。

痛风的诊断主要依赖于典型的临床表现以及关节滑液或关节腔中发现尿酸盐结晶,但由于痛风病程早期症状的非特异性和临床表现的多样化,极其容易造成早期漏诊、误诊,仍然有一部分痛风患者面临病情被延误治疗的困境。因此,早期诊断、早期治疗可控制痛风患者关节疼痛症状及关节损伤程度,显著改善预后。

近年来,国内外研究指出,痛风性关节炎在肌骨超声检查上有自身特有的敏感性和特异性。随着在痛风诊断应用中的不断探索与成熟,肌骨超声逐渐体现出其在辅助痛风早期诊断、监测炎症程度和进展以及评价治疗效果等方面具备显著优势。
虚线
肌骨超声技术诊断痛风评判标准:
肌骨超声通过高频线阵探头对各关节进行检查,观测每个病变关节是否存在滑膜增生、滑膜周围血流情况、软组织肿胀/损伤尿酸盐沉积、滑囊骨化、痛风石以及骨侵蚀等超声表现,做到早期对疾病的定性评估以及对痛风病情进展程度的精准判定。
一、定性检测滑膜、积液形态、血流信号 评判关节炎性进展
肌骨超声可检测到受累关节表现为不同程度的关节腔积液及滑膜增生。通过观察关节腔内积液是否为漂浮点状强回声来区别于其他关节炎,判定是否为痛风;通过观测关节内滑膜增厚情况,关节腔内壁是否不光滑,有无呈层状、绒毛状或结节样低回声实性突起以及滑膜上不同形态血流区分炎症为急性或慢性炎症,评判炎性反应进展程度。

二、清晰显示软骨表面尿酸盐结晶沉积状况 判断痛风所属病期
肌骨超声可通过高清影像图判定软骨表面有无出现一条与强回声骨皮质平行的线样强回声,即“双轨征”这一痛风性关节炎特征性表现,判定疾病所属。当尿酸盐粘附并沉积于漂浮的滑膜上时,超声检查可在关节腔内发现漂浮的高亮回声;而当尿酸盐长期沉积于韧带上时,在超声中即显示条带状的略高回声(韧带)中出现高回声点、高回声带或高回声团块(尿酸盐),从而判断痛风病情处于哪一时期。

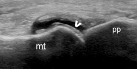
“双轨征”
跖趾关节软骨表面可见高回声不规则增强的软骨滑膜边缘线,呈“双轨征”。

高回声带
软骨表面回声增强,与深面的骨性关节面强回声线形成“双轨征”。

聚集体
髁软骨的双轨征状,显示髌腱内部的聚集体
三、准确检测不同形态痛风石 提供精准治疗临床依据
超声图像中出现的以高回声为主的高低回声混杂的团块即为痛风石,一般表现为高回声、不均质、界限不清楚、边缘可见液性暗区,可伴有声影。超声通过对痛风患者皮下组织、软骨、滑囊、韧带等不同部位痛风石的不同表现形式(滑膜结节厚度、强回声团状数量、回声是否伴声影)的清晰观察,能对痛风石进行区分(软性痛风石或硬性痛风石),帮助制定患者的个体化、针对性治疗方案。

回声伴声影
膝关节髌上囊扩张积液,可见团状强回声,并伴声影

高回声团
关节横纵扫描图像,尿酸盐沉积形成略高回声团块-痛风石
四、早期发现软组织改变、评定骨质侵蚀受损层级
在痛风初始阶段,肌骨超声就可清晰的发现患病关节周围软组织团状稍高或强回声、不规则形变薄、内部血流增多以及邻近骨皮质回声毛糙不平滑、连续性中断或缺损情况,判断软组织受损程度。对于慢性痛风的超声检查,在痛风石旁可发现骨皮质不连续、骨表面常呈虫蚀样缺损或骨赘形成,从而评定痛风病程长短及对骨质造成的不同层级的损害。

骨质侵蚀
跖趾关节骨质表面的不连续即为骨质侵蚀

软组织受损
肿胀关节内部回声不均匀,痛风结节周围软组织边缘欠规则。
近期有研究对肌骨超声技术早期发现关节内外形态变化确诊痛风性关节炎进行了评价,该技术以其在痛风图像上的特异性表征“双轨征”,显著优于其他影像学检查。肌骨超声影像以超高的分辨率,清晰显示沉积在关节内及周围软组织中的尿酸盐结晶、痛风石及继发的滑膜炎和骨侵蚀等改变,已被认为是风湿科医生临床诊断痛风的另一只眼睛,成为风湿科医生不可或缺的工具。
虚线
肌骨超声检测痛风性关节炎四大优势:
1、实时动态精准影像。高频超声通过轻微被动或主动关节活动的动态检查定位关节囊,以高分辨率显像清晰显示关节病变,早期即可 反映病情。
2、无创无痛、操作安全便捷。MSUS无明确禁忌症,无放射性损伤,检查无创无痛苦,实现了安全便捷操作,可以在床旁、手术室、急诊室实时动态检测,检查时可同时进行医患之间的互动与交流,极大的提高了对治疗的全方位实时治疗情况跟踪,易于康复。
3、可视化检查。高性能探头发射超声波束并接收散射的回波,组织增强成像和XView算法处理等 成像技术,提供优异的高分辨率影像。全程处于“可视化”操作状态下,对患者病情做出准确评估,同时对处于康复过程中的患者也能进行实时有效的监测。
4、实现多关节部位同步检查。MSUS可一次对多个关节进行检查,能迅速获得结果,对于多关节病变省时而高效;而且MSUS易于双侧关节对比检查,便于发现某些细微的病变。
虚线
附:肌骨超声发展历程:
20世纪90年代,意大利医学家在一项针对运动员膝关节慢性肌腱创伤的研究中发现,肌骨超声可反映出关节周围血流信号的增加、滑膜增厚和骨膜下水肿的状况,自此肌骨超声在关节炎症的检查上开始受到意大利医学界关注。随后,意大利风湿病学学会联合佛罗伦萨大学医学院在全球范围内率先将肌骨超声诊断风湿关节病临床价值研究纳入科研项目。经过数百项实验室研究,肌骨超声被证实在不同类型风湿关节病早期炎症筛查和软组织分辨力上显示出自身独特的优势。肌骨超声可提供其他影像学、常规创伤性检查等无法得到的重要诊断信息,为风湿关节病精细化诊断开拓了一条全新的途径。意大利成为全球 将肌骨超声技术纳入风湿关节病临床必要检查的国家。随着该技术在风湿关节病检查领域优势的不断拓展,一些发达欧美国家,如英国、德国、美国等陆续正式将肌骨超声纳入风湿科常规检查。肌骨超声技术的成熟应用,已成为当今国际风湿关节病诊疗领域 权威性的可视化关节影像学检测“金标准”。

1972年

Mcdonald等利用超声诊断技术鉴别腘窝囊肿和小腿静脉血栓,标志着MSUS正式走上临床医学舞台。欧美大批医学医生开始投入到肌肉骨骼关节相关学科的临床研究中。
20世纪90年代

意大利风湿病学学会联合佛罗伦萨大学医学院在全球范围内率先将肌骨超声诊断风湿关节病临床价值研究纳入科研项目。经过数百项实验室研究,MSUS被循证医学证实可提供其他影像学、常规创伤性检查等无法得到的重要诊断信息,意大利成为全球 将肌骨超声技术纳入风湿关节病临床必要检查的国家。
1998年

以英国利兹大学风湿关节病和肌肉骨骼医学中心为主要发起机构,欧美多国研究中心在MSUS在风湿关节病临床诊断的方向科研立项并得以临床结果认证。
2002年

欧洲抗风湿病联盟(EULAR/ACR) 指南中将MSUS推荐作为RA诊断和疗效评估的影像学手段,标志着MSUS在关节病诊治中的重要作用已被临床广泛接受和认可。欧美一些发达国家自此开始将肌骨超声应用于风湿关节病常规检查。
2009年

北京大学 医院国内 将肌骨超声技术应用于炎性骨关节病临床诊断,作为国内 开始MSUS超声检查的风湿科,科室医生多次参加国际肌骨超声应用研讨会、欧洲抗风湿病联盟(EULAR)年会的肌骨超声标准化培训等,填补了我国风湿关节病影像学精准检测的医学空白,带动我国肌骨超声技术水平整体与国际接轨。
2015年

中国超声医学工程学会肌骨超声专委会的大力推动下,肌骨超声全面涉及到骨科、康复医学、疼痛医学、风湿免疫、中医学等等交叉学科,拓宽超声的应用范围,使得肌骨超声在各临床学科充分应用。
2015年

2015年由EULAR和ACR联合发布的痛风新的分类标准中已经把肌骨超声发现的"双轨征"纳入其中。为了规范肌骨超声在痛风中的合理应用,风湿病测评组织OMERACT(outcome measuers in rheumatology)成立了超声痛风组,并首次就痛风性关节炎的超声下病变发布了国际共识,发表于2015年10月Rheumatology杂志。
2017年

全国肌骨超声应用协作组培训基地成立,代表着国内多家三甲医院风湿科应用肌骨超声技术诊断风湿关节病水平非常成熟,自此,肌骨超声开始面向全国推广。
2018年

成都风湿医院率先从意大利引进肌骨超声,并获得该仪器检测在西南地区的临床应用与操作医生的授权资格,预示着我院在风湿关节病的高水平精准诊断领域已于国际接轨,处于国内领先地位,肌骨超声的引进必将大力推动西南地区风湿关节病可视化精细化诊断技术的全面发展。
2018年,成都风湿医院率先从意大利引进肌骨超声,并获得该仪器检测在西南地区的临床应用授权资格,预示着我院在风湿关节病的高水平精准诊断领域已与国际接轨,处于国内领先地位,肌骨超声的引进必将大力推动西南地区风湿关节病可视化精细化诊断技术的全面发展。
温馨提醒
以上文章内容为医生助理整理。若想了解更多信息,可点击在线导诊,专业风湿病医生为您在线解答。或免费拨打咨询电话: 028-86117707
上一篇:肌骨超声
吕万萍
蒙兴文
许军
周攀
于云飞
李小兰
黄娜
王洁
聂治民
-
一诊室主任
网络挂号数量:19582例 累计诊疗数量:20148位临床
擅长吕万萍主任,毕业于成都中医药大学,现任成都风湿医院一诊室主任、欧洲抗风湿病联盟(EULAR)会…【详细】
-
九诊室主任
网络挂号数量:15278位 累计诊疗数量:18425例临床
擅长蒙兴文主任长期从事风湿免疫病临床诊疗与医学研究工作,专于类风湿性关节炎临床诊疗,精于各类…【详细】
-
三诊室主任
网络挂号数量:18749位 累计诊疗数量:22784例临床
擅长许军主任毕业于成都中医药大学,现任成都风湿医院痛风科门诊主任,美国风湿病学会(ACR)国际会…【详细】
-
六诊室主任
网络挂号数量:16533位 累计诊疗数量:15965位临床
擅长周攀主任,毕业于成都中医药大学,现任成都风湿医院六诊室主任、美国风湿病学会(ACR)国际会员…【详细】
-
七诊室主任
网络挂号数量:8557位 累计诊疗数量:23556临床
擅长现任成都风湿医院七诊室主任,同时身兼欧洲抗风湿病联盟(EULAR)会员、四川省风湿免疫疾病大数据…【详细】
-
二诊室主任
网络挂号数量:10228位 累计诊疗数量:13588位临床
擅长现任成都风湿医院二诊室主任,美国风湿病学会(ACR)国际会员,同时是四川省残疾人福利基金会“…【详细】
-
八诊室主任
网络挂号数量:8557位 累计诊疗数量:19565临床
擅长现任成都风湿医院八诊室主任,同时身兼亚太痛风联盟HGMC成都分中心专家组成员、欧洲抗风湿病联…【详细】
-
十一诊室主任
网络挂号数量:8557位 累计诊疗数量:11684位临床
擅长王洁,现任成都风湿医院十一诊室主任、欧洲抗风湿病联盟会员、亚太痛风联盟HGMC成都分中心专家…【详细】
-
十诊室主任
网络挂号数量:56645 累计诊疗数量:37161临床
擅长成都风湿医院十诊室主任 四川省中医药信息学会痹症专业委员会委员 四川省风湿免疫疾病大数据…【详细】
个人信息授权和保护声明
感谢您信任并使用成都风湿医院自助挂号平台!我们非常重视保护您的个人信息和隐私。请您仔细阅读在本页面展示的个人信息授权及保护声明,确保在完全同意相关内容的基础上再提交您的信息。
1、本服务页面的实际运营者,即本服务页面展示的主体(以下简称“我方”)提供。
2、我方将按照法律规定收集、处理您的个人信息。本协议可能涉及您个人信息权益的重要约定,请您在提供个人信息前仔细阅读。一旦您在页面上提交了相关信息,即视为您同意本协议的全部内容。
3、为了进一步向您提供预约诊疗的相关信息,了解您的需求,需要您按页面的表单提交相关信息,提交的可能包括您的姓名、电话等,具体以页面展示的为准,我们使用前述信息的目的在于与您联络,确认预约信息。您有权拒绝提供上述信息,但可能无法获取进一步服务。如您提供了上述信息,您应保证所有信息真实、准确、完整、有效。
4、我方已采取符合业界标准的安全防护措施保护您的个人信息。
5、若您是未满18周岁的未成年人,请您和您的监护人仔细阅读本隐私政策,并在征得您的监护人授权同意或监护人指导下使用并向我们提供个人信息。
6、如您有任何投诉、建议或咨询,或有任何基于法律法规规定的权利请求,例如查询、修改、删除、撤回预约等,请通过本页面展示的联系方式与我们联系。
请您仔细阅读本《个人信息授权和保护声明》了解详细信息。如果您同意,请您点击“同意”开始使用我方自助预约挂号服务,我们将尽全力保护您的个人信息安全。
个人信息授权和保护声明
感谢您信任并使用成都风湿医院自助挂号平台!我们非常重视保护您的个人信息和隐私。请您仔细阅读在本页面展示的个人信息授权及保护声明,确保在完全同意相关内容的基础上再提交您的信息。
1、本服务页面的实际运营者,即本服务页面展示的主体(以下简称“我方”)提供。
2、我方将按照法律规定收集、处理您的个人信息。本协议可能涉及您个人信息权益的重要约定,请您在提供个人信息前仔细阅读。一旦您在页面上提交了相关信息,即视为您同意本协议的全部内容。
3、为了进一步向您提供预约诊疗的相关信息,了解您的需求,需要您按页面的表单提交相关信息,提交的可能包括您的姓名、电话等,具体以页面展示的为准,我们使用前述信息的目的在于与您联络,确认预约信息。您有权拒绝提供上述信息,但可能无法获取进一步服务。如您提供了上述信息,您应保证所有信息真实、准确、完整、有效。
4、我方已采取符合业界标准的安全防护措施保护您的个人信息。
5、若您是未满18周岁的未成年人,请您和您的监护人仔细阅读本隐私政策,并在征得您的监护人授权同意或监护人指导下使用并向我们提供个人信息。
6、如您有任何投诉、建议或咨询,或有任何基于法律法规规定的权利请求,例如查询、修改、删除、撤回预约等,请通过本页面展示的联系方式与我们联系。
请您仔细阅读本《个人信息授权和保护声明》了解详细信息。如果您同意,请您点击“同意”开始使用我方自助预约挂号服务,我们将尽全力保护您的个人信息安全。
个人信息授权和保护声明
感谢您信任并使用成都风湿医院自助挂号平台!我们非常重视保护您的个人信息和隐私。请您仔细阅读在本页面展示的个人信息授权及保护声明,确保在完全同意相关内容的基础上再提交您的信息。
1、本服务页面的实际运营者,即本服务页面展示的主体(以下简称“我方”)提供。
2、我方将按照法律规定收集、处理您的个人信息。本协议可能涉及您个人信息权益的重要约定,请您在提供个人信息前仔细阅读。一旦您在页面上提交了相关信息,即视为您同意本协议的全部内容。
3、为了进一步向您提供预约诊疗的相关信息,了解您的需求,需要您按页面的表单提交相关信息,提交的可能包括您的姓名、电话等,具体以页面展示的为准,我们使用前述信息的目的在于与您联络,确认预约信息。您有权拒绝提供上述信息,但可能无法获取进一步服务。如您提供了上述信息,您应保证所有信息真实、准确、完整、有效。
4、我方已采取符合业界标准的安全防护措施保护您的个人信息。
5、若您是未满18周岁的未成年人,请您和您的监护人仔细阅读本隐私政策,并在征得您的监护人授权同意或监护人指导下使用并向我们提供个人信息。
6、如您有任何投诉、建议或咨询,或有任何基于法律法规规定的权利请求,例如查询、修改、删除、撤回预约等,请通过本页面展示的联系方式与我们联系。
请您仔细阅读本《个人信息授权和保护声明》了解详细信息。如果您同意,请您点击“同意”开始使用我方自助预约挂号服务,我们将尽全力保护您的个人信息安全。
- 自助挂号平台
- 远程会诊平台
- 救助申请平台
远程会诊申请表
注:本测试结果由我院多名风湿科医生共同会诊,填写完毕后,请您耐心等候回电! 信息的真实性关系到医生的会诊结果,请您对照患者情况如实填写!
风湿患者
生活救助项目申请平台
本救助项目对痛风、类风湿性关节炎、强直性脊柱炎、风湿性关节炎、感染性关节炎、骨性关节炎、反应性关节炎、风湿热等主要风湿疾病的贫困风湿患者给予一次性生活救助。
申请须知
救助额度根据患者实际情况实行限额救助,具体比例为:
1、对"精准扶贫"建卡贫困户风湿免疫性疾病患者,生活救助金统一为1000元。
2、对家庭五保户或丧失劳动能力家庭风湿免疫性疾病患者,生活救助金为2000元。
3、对没有参加各类医疗保险,有低保证、残疾证等证明文件,但不属于"精准扶贫"建卡贫困户的困难家庭风湿免疫性疾病患者,生活救助金为1000元;
4、对已参加各类医疗保险,诊疗疾病属于报销范围的困难家庭风湿免疫性疾病患者,生活救助金为500元。
- 医生会诊
- 医院环境
- 仪器设备
- 公益事业


换一批
更多


































































